人文桂东·技术① | 精益求精,用匠心守护生命
故事一:“软硬兼施”,为独肾患者清除多发结石
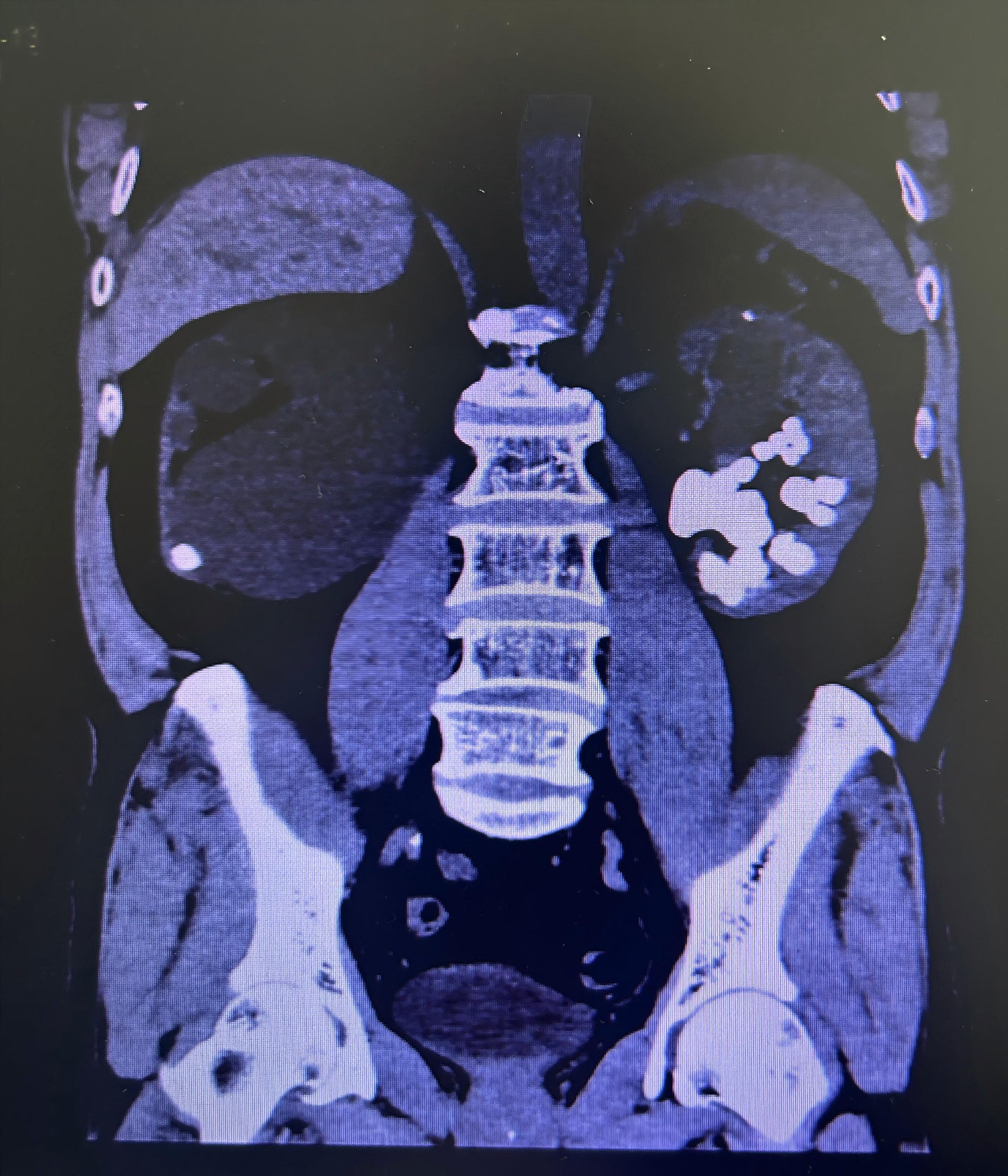
老覃(化名),69岁,功能性独肾——他的另一侧肾脏已基本丧失功能,多年来全凭这一颗肾脏维持生命。近日,他因“腰痛、无尿一天”紧急入院。检查结果让所有人心中一紧:左肾多发结石堵塞输尿管,梗阻已导致急性肾功能衰竭的苗头。如果不尽快解除梗阻,这颗唯一的肾脏将面临不可逆的损伤。
这是一道“既要、又要、还要”的难题:既要彻底清除结石,又要最大程度保护仅存的肾功能,还要缩短手术时间、降低风险。

泌尿外科二科团队为老覃量身定制了一套“组合拳”式方案。手术采用斜仰卧截石位——患者无需在术中翻身,医生可同时从“上方”和“下方”两个路径操作,大幅节约时间。术中,医生们“软硬兼施”:软镜从下方进入,处理输尿管结石并深入各肾盏,清除藏在“犄角旮旯”的肾内结石;硬镜从上方进入肾内,处理大的结石并高效清除击碎的结石碎片。双镜联合、上下联动,医生在显示屏前如“排雷”一般,将结石一一击碎、取出。

术后查房,老覃精神状态良好,肾功能指标稳步恢复。他笑着说:“感觉整个人都松快了。”那颗曾经“孤军奋战”的肾脏,终于又稳稳地工作了起来。
“每一个手术方案的制定,都是对患者生命质量的郑重承诺。”泌尿外科二科团队表示,“尤其是对于独肾患者,我们不仅要‘敢做’,更要‘做得巧、做得稳’。”
故事二:血细胞分离机旁的温情
血细胞分离机的嗡鸣声中,50岁的马阿姨攥紧了病床栏杆——这是科室首例血小板去除治疗。她望着错综复杂的管路,指尖微微发抖。
“这机器像小蜜蜂,只采多余的血小板。”护士长把冰冷的医学原理酿成蜜语,小陈护士在旁精准操作。四小时治疗,她们轮番喂水、塞糖果,甚至为独处的马阿姨一勺勺喂饭。
当淡粉色血液在管路中流淌,窗外玉兰花瓣正随风飘落,仪器屏幕上的数字终于达标。
“谢谢你们......”马阿姨哽咽道。

此刻,血细胞分离机不仅是钢铁卫士,更成为了传递温情的桥梁——那些被精密计算的不仅是血小板数值,还有护理中无法量化的温度。窗外的玉兰开得正好,春风卷着花香掠过治疗室,那些在血液管路间流动的,不只是治病的血小板,更是人与人之间最珍贵的温度。
扫一扫 手机端浏览

服务号
订阅号