人文桂东·罕见病① | 抽丝剥茧,只为每一个生命不被辜负
近年来,小杨(化名)发现自己逐渐出现言语不清晰、双手活动不灵活的情况。他辗转多处就诊,头颅磁共振检查提示"放射性脑病",医师反复询问是否有鼻咽癌病史、是否接受过放射治疗,但小杨都一一否认。
左思右想之后,小杨给自己找到了一个"合理"的解释:应该是在工厂打工时出现的问题(工作时需要穿防辐射服)。但工厂早已倒闭,线索就此中断。日子一天天过去,小杨的症状却越来越重。近日,他来到了广西桂东人民医院就诊。
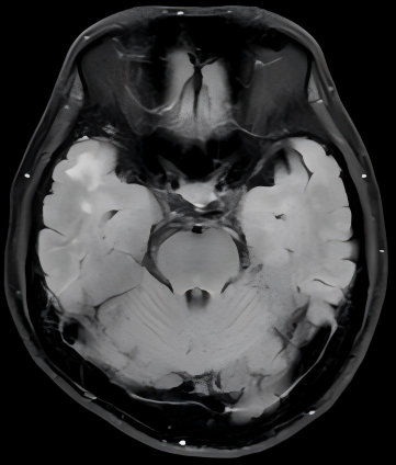
神经内科二科的医生接诊了他。通过详细的问诊和查体,查阅既往资料,医生第一时间为他安排了头颅磁共振复查。影像结果确实显示小杨大脑双侧颞叶存在异常信号,与放射性脑病的影像改变高度相似。
但经验丰富的医生没有止步于此。查体时,医生敏锐地注意到两个细节:小杨的脸型比较狭长、瘦削;双手用力握拳后,需要数十秒才能缓缓松开。这两个看似不起眼的体征,让医生的心中有了其他考虑。
为验证判断,医生迅速为小杨安排了肌电图、眼科会诊、基因检测等系列检查。最终,肌电图提示"肌强直放电",基因检测显示DMPK基因的一个等位基因CTG拷贝数达150次(正常值<50)。基于此,小杨被明确诊断为强直性肌营养不良1型。

当诊断结果终于明晰的那一刻,小杨既困惑又释然。困惑的是,这个陌生的病名意味着什么?释然的是,终于找到了困扰自己多年的"答案"。医生耐心地向他解释病情、治疗方案及日常管理要点,并为他制定了个体化的随访计划。
“让罕见被看见”,不仅仅是一句口号,更是神经内科二科医护团队在每一天的诊疗中践行的信念。每一个细微的体征、每一次耐心的追问、每一项精准的检查,都可能成为拨开迷雾的那束光。
【健康科普】认识强直性肌营养不良
强直性肌营养不良是以肌强直和肌肉进行性无力、萎缩为主要特点的常染色体显性遗传性多系统疾病。该病包括由 DMPK 基因变异所致的1型和由 ZNF9(CNBP)基因变异所致的2型。估计患病率约为12/100000。
可能出现哪些临床表现?
1. 肌肉症状:
肌强直:表现为肌肉用力收缩后不能立即松开,如用力握拳不能立刻将手伸直,用力闭眼后不能立即睁开。
肌无力和肌萎缩:最常先累及手部和前臂肌肉,逐渐向近端发展,头面部肌肉萎缩可出现“斧状脸”。
2. 非肌肉症状:
眼:大部分患者会出现白内障,常在30~40岁影响视力。
心脏:部分患者可出现不同程度的房室传导阻滞和室内传导异常,严重时可出现心源性猝死。
中枢神经系统:可出现日间睡眠增多、认知及情绪障碍等。
内分泌系统:可出现多种内分泌疾病,包括糖尿病、甲状腺功能异常、钙磷代谢异常等。
如何确诊?
强直性肌营养不良通常会通过实验室检查、肌电图检测、心电图、影像学、基因检查来确诊。
如何治疗?
虽然该病目前尚无特效治疗方法,但早期正确诊断非常重要,可以避免不必要的治疗。治疗上主要是对症支持治疗,如肌强直明显,可应用美西律等药物。对于肌肉无力萎缩,应在康复医师指导下进行适量的康复训练。对于白内障,可手术治疗。对于睡眠障碍、认知与情绪障碍,可考虑对症药物治疗。积极控制心律失常、糖尿病、甲状腺功能异常等情况。
医院简介
2025年,广西桂东人民医院牵头成立贺州市罕见病专业医疗质量控制中心,中心涵盖神经内科、血液内科、儿科、内分泌科、遗传(优生优育)等相关专科。蒋柳结主任医师担任中心主任,中心通过开展指南培训、区域交流学习等形式,提升医务人员对罕见病的识别与诊疗能力。神经内科为广西神经免疫专科联盟成员单位,具备诊治多种疑难罕见病的能力,并可开展神经系统相关免疫疾病的靶向治疗。
同时,广西桂东人民医院是国家高级卒中中心、广西脑血管病专科联盟副主席单位,以及贺州市脑血管病专科联盟主席单位。2007年,医院在梧州市、贺州市率先开展脑血管介入诊疗技术,目前可常规开展急性脑梗死机械取栓、颅内外动脉支架植入、动脉瘤弹簧圈栓塞等手术,年完成神经介入手术约1000台。
扫一扫 手机端浏览

服务号
订阅号